눈에도 종양이 생긴다? '이 증상' 나타나면 의심…
눈에도 종양이 생긴다? '이 증상' 나타나면 의심… © 제공: 헬스조선
몸 곳곳에 종양이 생길 수 있다는 사실은 알지만, 눈에도 발생할 수 있다는 건 모르는 사람이 많다. 특히 눈을 둘러싼 뼈, 근육, 지방, 혈관, 신경, 눈물샘에 종양이 생길 수 있는데, 이를 '안와 종양'이라 한다.
안와 종양은 크게 악성과 양성으로 분류된다. 악성 종양은 암을, 양성 종양은 암이 아닌 종양을 말한다. 순천향대부천병원 안과 장선영 교수는 "안와 종양의 악성과 양성을 감별하기 위해 대부분 조직검사를 해야 한다"며 "악성 종양이 아니더라도 시력 저하, 시야 결손 등 기능적 문제뿐 아니라 미용적인 문제를 유발할 수 있어 조기 진단과 함께 적절한 치료를 받는 것이 좋다"고 말했다.
안와 양성 종양은 생긴 위치에 따라 다양한 증상을 유발한다. 시신경 근처에 생기면 시력 저하, 시야 감소 증상이, 안구를 움직이는 근육이나 신경 근처에 생기면 안구운동장애, 복시, 사시 등이 나타난다. 눈물샘이나 안구 뒷부분에 종양이 커지면 안구 돌출이나 눈꺼풀 부종이 생길 수 있다. 그 외 위치에 따라 결막부종, 종괴, 눈꺼풀 처짐이 나타날 수 있다.
안와 양성 종양 종류는 매우 다양하며, 종양에 따라 잘 생기는 연령, 성별도 다양하다. 유피낭종과 표피모양낭종은 안와낭종으로 분류되며, 주로 소아에서 발생한다. 다형샘종은 눈물샘에 생기는 종양으로, 40대 남성에서 흔히 발생한다. 시신경교종은 시신경에 생기는 종양으로 중년 여성에서 많이 나타난다. 그 외에도 수막종, 신경집종, 혈관성 종양인 영아혈관종, 고립섬유종, 해면혈관종 등 다양한 종류가 있다.
장선영 교수는 "안와 양성 종양은 아직 원인이 명확히 밝혀지지 않아 예방이 어렵다"며 "갑자기 평소와 달리 눈에 뭔가 만져지거나 외관상 변형이 생기면 반드시 안와 양성 종양을 의심하고 안과에서 빠르게 검진을 받아봐야 한다"고 말했다.
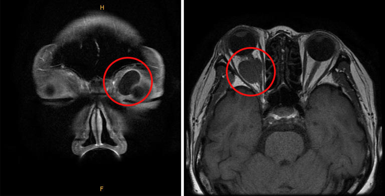
안와 종양 진단 방법은 환자의 얼굴을 관찰하고, 만져지는 덩어리가 있는지 확인하며, 덩어리에서 소리가 들리는지 확인하는 식으로 진행한다. 이후 안구돌출계를 이용해 눈에 안구 돌출이 발생했는지 확인한다. 이학적 검사상, 안와 사인이 명백하게 관찰되면 이후 CT, MRI 등 이미지 검사를 시행한다.
안와 양성 종양은 일반적으로 수술을 통해 제거한다. 하지만 발생 위치에 따라 합병증 발생 위험이 있어 신중하게 치료 방향을 결정해야 한다. 먼저 수술 전 CT 및 MRI 검사를 통해 종양의 크기, 위치, 성상을 정확하게 파악하고 분석한다. 안와 앞쪽에 위치한 종양은 상대적으로 쉽게 제거할 수 있다. 흉터 없이 제거하기 위해 쌍꺼풀 라인을 따라 절개하고 수술을 진행할 수도 있다.
안와 뒤쪽에 위치한 종양도 종류에 따라 박리가 비교적 쉬울 수 있지만, 일부는 합병증 발생 위험이 있다. 특히 안구 뒤쪽으로 시신경이 뇌와 연결되는 구멍이 있는 안와첨은 좁은 공간 내 많은 신경과 혈관, 외안근 시작 부위 등이 가깝게 자리 잡고 있어, 종양 수술 후 합병증 발생 위험이 높아 수술 여부를 신중하게 검토해야 한다.
이에 안와첨 종양은 수술이 아닌 사이버나이프 같은 방사선치료를 통해 크기를 줄이는 치료를 시행할 수 있다. 안와 뒤쪽 공간에 종양이 발생하면, 종양의 크기가 꽤 커질 때까지 환자가 증상을 느끼지 못하는 경우가 많다. 이때는 시력이나 시야에 이상이 없고, 안구 움직임에도 영향을 주지 않는 양성 종양일 경우 경과 관찰을 하는 것으로 치료 방향을 결정하기도 한다.
장선영 교수는 "종종 안와 주위 뇌, 코곁굴과 같은 주변 조직과 관련성을 고려해야 한다"며 "최상의 치료 결과를 위해 영상의학과, 신경외과, 이비인후과, 방사선종양학과, 성형외과 등 각 분야 전문가와의 원활한 협업이 중요하다"고 말했다. 그는 이어 "안와 내에는 안구와 함께 여러 구조물이 복잡하게 자리 잡고 있으며 수술 부위가 매우 좁다"며 "종류와 위치에 따라 어떤 치료법이 가장 적절할지 결정하고 계획해야 하기 때문에 전문 지식이 있는 숙련된 성형 안과 전문의에게 적절한 진단과 치료를 받는 것이 중요하다"고 말했다.








